Gallenblase

Die Gallenblase (lateinisch Vesica fellea bzw. Vesica biliaris; von lateinisch vesica „Blase“, und fel bzw. bilis „Galle“), kurz auch Galle genannt, ist ein Hohlorgan der Wirbeltiere. In ihr wird die Galle, die von der Leber für die Verdauung von Fetten im Darm produziert wird, eingedickt und gespeichert. Umgangssprachlich wird auch die Gallenblase selbst oft als „Galle“ bezeichnet. Häufige Erkrankungen sind von Gallensteinen verursachte Behinderungen des Zu- und/oder Abflusses der Gallenblase (Cholecystolithiasis und Choledocholithiasis) und durch Gallensteine ausgelöste Entzündungen der Gallenblase (Cholezystitis). Die Gallenblase muss (beim Menschen) dann oft chirurgisch entfernt werden (Cholezystektomie). Das verbreitetste Untersuchungsverfahren zur Beurteilung der Gallenblase ist die Sonografie.
Vorkommen
Eine Gallenblase ist bei den meisten Wirbeltieren ausgebildet, erstmals tritt sie als Merkmal bei der Evolution der Wirbeltiere auf.[1] Innerhalb der Wirbeltierklassen gibt es Taxa, bei denen keine Gallenblase ausgebildet ist. So findet sie sich beispielsweise bei Neunaugen nur in Jungtieren, in Adulten wird sie im Laufe der Ontogenese reduziert. Außerdem besitzt eine Reihe von Knorpelfischen keine Gallenblase. Von den Säugetieren haben Faultiere, Giraffen, Tapire, Pferde, Ratten und Hirsche keine Gallenblase. Innerhalb der Vögel fehlt sie bei den meisten Taubenvögeln und Papageien sowie dem Nandu und dem Afrikanischen Strauß, bei Perlhühnern ist sie nicht immer vorhanden. Bei den Tierarten ohne Gallenblase mündet der Leberausführungsgang direkt in den Darm (bei Säugetieren in das Duodenum).
Anatomischer Aufbau

9. Gallenblase, 10–11. Linker und rechter Leberlappen. 12. Milz.
13. Speiseröhre. 14. Magen. 15. Bauchspeicheldrüse: 17. Ductus pancreaticus.
18. Dünndarm: 19. Zwölffingerdarm, 20. Jejunum
21–22: Nieren

Die menschliche Gallenblase ist normalerweise 8 bis 12 cm lang und 4 bis 5 cm breit. Ihre Form wird oft als „birnenförmig“ beschrieben. Die Gallenblase liegt in der Gallenblasengrube (Fossa vesicae biliaris) der Unterseite der Leber zwischen deren Lobus quadratum (quadratischer Lappen) und Lobus dexter (rechter Lappen) an, kann aber auch vom Gewebe der Leber umschlossen sein. Nach kaudal steht das Organ in Beziehung zur Flexura coli dextra, der rechten Biegung des Dickdarms (Colon), was bei Entzündungen zu Verwachsungen zwischen den beiden Organen führen kann, oder auch zu Verbindungen zwischen den jeweiligen Hohlräumen (biliodigestive Fistel). Dorsal (rückenwärts) befindet sich die Gallenblase nach medial in unmittelbarer Nähe der Pars superior des Zwölffingerdarms (Duodenum).[2] Bei den Schlangen liegt die Gallenblase hinter der Leber und relativ weit von dieser entfernt.
Das Organ kann in einen Fundus vesicae biliaris (Gallenblasenboden), Corpus vesicae biliaris (Gallenblasenkörper) und Collum vesicae biliaris (Gallenblasenhals) gegliedert werden.[2] Der Hals der Gallenblase, wo das Organ in den Ductus cysticus (Gallenblasengang) übergeht, besitzt eine spiralförmige Schleimhautfalte (Plica spiralis, auch Heister-Klappe), die eine Verschlussfunktion vor allem bei der Erhöhung des intraabdominalen Drucks (z. B. beim Stuhlgang) wahrnimmt. Der Ductus cysticus vereint sich mit dem Ductus hepaticus communis zum Ductus choledochus, der im Ligamentum hepatoduodenale verläuft und in den Zwölffingerdarm mündet.[3]
Die gesamte Gallenblase ist, mit Ausnahme der Stellen, die der Leber anliegen, mit Bauchfell (Peritoneum) überzogen, das vom rechten Nervus phrenicus (Zwerchfellnerv) sensibel innerviert wird. Die Nervenfasern entstammen den Rückenmarksegmenten C3–C5. Von den Segmenten C3 und C4 entspringen auf dieser Seite auch die Fasern der Nervi supraclaviculares, welche Teile der rechten Schulter innervieren. Bei einer Reizung des Peritoneums der Gallenblase durch pathologische Prozesse, etwa einer Entzündung, kann es aufgrund dieses gemeinsamen Ursprungs zum Phänomen des „Übertragenen Schmerzes“ in der Schulter kommen. Daneben wird die Gallenblase vegetativ von Fasern des Plexus coeliacus innerviert.[4]

Die Arteria cystica (Blasenarterie), meist ein Gefäß aus dem rechten Ast der Arteria hepatica propria (Leberarterie), versorgt die Gallenblase mit Blut. Abführende Gefäße sind die Venae cysticae, die in die Pfortader (Vena portae) münden.[4]
Bei einer Varietät, die als „Phrygische Mütze“ bezeichnet wird, handelt es sich um eine Aussackung des Organs, deren Form jener Mütze ähnlich sein kann.
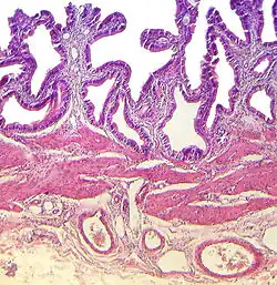
Feinbau

Die etwa 0,4 cm dicke Wand des Hohlorgans ist histologisch dreischichtig gegliedert. Von innen (Lumen) nach außen unterscheidet man eine Tunica mucosa, bestehend aus Epithel und einer Lamina propria, eine Tunica muscularis und eine Tunica serosa.
Die Tunica mucosa (Schleimhaut) besteht aus einer lumenwärts gelegenen Schicht Oberflächenepithel und einer darunterliegenden Bindegewebsschicht mit Blutgefäßen, der Lamina propria. Bedingt durch die Farbe der Galle ist die Schleimhaut grün gefärbt. Sie ist zu Falten aufgeworfen, die bei zunehmender Füllung geglättet werden. Die Aneinanderlagerung von Falten führt zu so genannten „Schleimhautbrücken“, die charakteristisch für das histologische Präparat einer Gallenblase sind. Gelegentlich vorkommende Krypten werden Rokitansky-Aschoff-Krypten genannt. Das Oberflächenepithel besteht aus so genannten Hauptzellen, ist einschichtig und zeichnet sich durch eine große Anzahl von Mikrovilli aus. Die Zellen sind durch Nexus, Desmosomen und Schlussleisten miteinander verbunden. Funktion der Hauptzellen ist der Entzug von Wasser zur Konzentrierung der Galle und die Produktion von Schleim zum Schutz des Organs vor Gallenbestandteilen. Bei einigen Säugetieren (Fleischfressern, Paarhufern) besitzt die Schleimhaut im Bereich des Gallenblasenhalses muköse Drüsen, die Muzine synthetisieren.[5] Bei chronischen Entzündungen kann die Anzahl dieser Drüsen erhöht sein.
Die mittlere der drei Schichten, die dünne Tunica muscularis, besteht aus glatter Muskulatur in scherengitterartiger Anordnung und vereinzelten bindegewebigen Anteilen. Die Schicht ist für die Entleerung des Organs notwendig.[5]
Die außen liegende Tunica serosa besteht, außer an der der Leber anliegenden Stelle, wo eine Tunica adventitia ausgebildet ist, aus dem Epithel des Peritoneums und darunter liegendem Bindegewebe. Diese Schicht führt neben Nervenfasern auch Blutgefäße.
Ontogenetische Entwicklung
Die Gallenblase geht in der Ontogenese, der Entwicklung des einzelnen Lebewesens, aus einem primitiven Darmrohr hervor, das sich in der vierten Entwicklungswoche aus dem Entoderm, dem inneren Keimblatt des Embryoblasten, bildet. Der kranial (zum Schädel hin) gelegene Anteil dieses Rohres wird als Vorderdarm bezeichnet und ist unter anderem Ausgangspunkt für die Entwicklung von Leber und Gallenblase. Letztere geht aus dem Diverticulum cysticum hervor, einer Aussackung des Vorderdarms, die kranial der Anlage der Bauchspeicheldrüse und kaudal (schwanzwärts) der Leberanlage (Diverticulum hepaticum) liegt. Aus dem Diverticulum cysticum entwickelt sich sowohl die Gallenblase als auch der Ductus cysticus (Gallengang).[6]
Sowohl das Fehlen (Aplasie), die Unterentwicklung (Hypoplasie) als auch die doppelte Anlage des Organs gehören zu einer Vielzahl seltener Fehlbildungen, die beim Menschen möglich sind. Auch die Ausbildung direkter Gänge von der Leber zur Gallenblase ist möglich.
Im Rahmen seltener Syndrome kann die Gallenblase mit beteiligt sein, etwa beim Mitchell-Riley-Syndrom.
Physiologie

Die von der Leber produzierte Galle dient der Verdauung von Fetten im Darm. Über den Ductus choledochus wird die Galle über die Papilla duodeni major in den Zwölffingerdarm abgegeben. Die Schließmuskeln (M. sphincter ampullae und M. sphincter ductus choledochi) im Bereich dieser Mündung können durch ihre Kontraktion das Abfließen der Galle verhindern, so dass diese sich in die über den Ductus cysticus zwischengeschaltete Gallenblase zurückstaut. Diese Speicherung erfolgt vor allem zwischen den Mahlzeiten (interdigestiv) und betrifft ungefähr die Hälfte der von der Leber sezernierten Galle. Das Organ fasst etwa 50 ml Gallenflüssigkeit, deren Konzentration aber durch den aktiven Entzug von Wasser stark erhöht werden kann. Die Galle kann so auf bis zu zehn Prozent des ursprünglichen Volumens angereichert („eingedickt“) werden. Teilweise wird in diesem Zusammenhang die ursprüngliche „Lebergalle“ von der modifizierten „Blasengalle“ unterschieden. Letztere zeichnet sich vor allem durch eine erhöhte Konzentration von Gallensäuren, Lecithin, Gallenfarbstoffen und Cholesterol aus. Die Eindickung erfolgt durch die Verschiebung von Natrium- und Chlorid-Ionen unter Verwendung eines Na+/H+- sowie eines Cl−/HCO3−-Antiport-Transportsystems in der apikalen (luminalen) Membran der Hauptzelle. Diese Verschiebung ist elektroneutral, das heißt, es werden dabei netto keine Ladungen verschoben. Das in der Galle enthaltene Wasser folgt diesen resorbierten Ionen aufgrund deren osmotischer Wirksamkeit. In der basolateralen Membran der Zelle befindet sich eine Na+/K+-ATPase, welche die intrazelluläre Natrium-Konzentration konstant hält. Das resorbierte Wasser wird in den Blutgefäßen der Lamina propria abtransportiert.[7]
Bei Entspannung (Relaxation) der Schließmuskeln kommt es zum Ausströmen des Inhalts der Gallenblase; unterstützt wird diese Entleerung durch die Kontraktion der glatten Muskulatur der Gallenblasenwand. Die Kontraktion erfolgt unter dem Einfluss von Cholezystokinin (CCK),[7] dessen Bildung im Zwölffingerdarm und oberen Jejunum (Leerdarm) unter anderem durch Fett im Nahrungsbrei angeregt wird, und der parasympathischen Wirkung des Nervus vagus über den Neurotransmitter Acetylcholin.
Erkrankungen der Gallenblase (Cholezystopathien)
Gallensteine sind Ausfallprodukte aus der Gallenflüssigkeit. Bei etwa 12 % der deutschen Bevölkerung treten diese Konkremente auf, werden aber nur bei ungefähr der Hälfte der Betroffenen symptomatisch. Die Ursachen können zum Beispiel in einem Ungleichgewicht der Gallenbestandteile Gallensäure und Cholesterin liegen. Geht Gallensäure aufgrund unzureichender Resorption dem enterohepatischen Kreislauf verstärkt verloren, wie zum Beispiel bei Morbus Crohn, oder wird unzureichend gebildet, so nimmt der Cholesterinanteil relativ zu. Dies gilt auch für einen erhöhten Cholesterinspiegel im Blut (Hypercholesterinämie). An den Kristallisationskern lagern sich nachfolgend weitere Substanzen an, was zur Cholelithiasis (Gallensteinleiden) führen kann. Besonders wenn sehr junge Menschen stark betroffen sind, kann die Ursache auch in einer Aufbaustörung des roten Blutfarbstoffs (Porphyrie) liegen, dessen Vorläuferprodukte die Gallenkanalzellen schädigen.
Steinleiden gehen oftmals mit Schmerzen im Bauchraum, Koliken und Gelbsucht einher. Therapiemöglichkeiten sind heute die Entfernung der Gallenblase (Cholezystektomie) oder die Entfernung mit oder ohne Zertrümmerung der Steine im Rahmen einer endoskopisch retrograden Cholangiopankreatikographie. Eine Stauungsgallenblase (Gallenblasenhydrops) entsteht durch die Verlegung der ableitenden Gallenwege durch Gallensteine, Stenosen oder Tumoren bei gleichzeitig anhaltender Produktion von Muzinen.
Eine häufige Komplikation des Gallensteinleidens ist die Entzündung der Gallenblase (Cholezystitis). Sie ist eine bakterielle Infektion, die in 90 % der Fälle durch eine vorübergehende Verlegung des Gallenblasenausgangs begünstigt wird. Sie kann in einer Ansammlung von Eiter im Hohlorgan resultieren (Gallenblasenempyem). In der Regel muss bei einer Gallenblasenentzündung das Organ operativ entfernt werden (meistens als laparoskopische Cholezystektomie). Wiederkehrende oder chronische Entzündungen der Gallenblase können zu einer sogenannten „Porzellangallenblase“ führen, deren Wand durch Einlagerung von Calcium verkalkt und so verhärtet, oder zu einer vernarbten „Schrumpfgallenblase“. Insbesondere die Porzellangallenblase kann den Boden für das Gallenblasenkarzinom bereiten, eine eher seltene Krebserkrankung mit schlechter Prognose.[8]
Erstmals systematisch hatte sich ab 1733 der französische Chirurg und Pionier der Gallenblasenchirurgie Jean-Louis Petit mit operativen Eingriffen an der Gallenblase beschäftigt. Im Jahr 1743 berichtete er über die erste planmäßig durchgeführte Operation der Gallenblase, eine von ihm vorgenommene Inzision-Lithotomie.[9]
Als Gallenblasenperforation bzw. Gallenblasenruptur wird der eine rasche Operation[10] nötigmachende Durchbruch der Gallenblasenwand bezeichnet. Dies kann sowohl die Folge einer Cholezystitis als auch einer mechanischen Belastung durch einen Gallenstein sein.
Rund 5 % der Bevölkerung haben Gallenblasenpolypen. Diese sind in den allermeisten Fällen asymptomatisch und gutartig, nur selten verbirgt sich eine Krebserkrankung dahinter.[11]
Verschiedene als Leberegel bezeichnete Saugwürmer befallen das Gallengangssystem und die Gallenblase.
Mittels einer biliodigestiven Anastomose kann eine künstliche Verbindung zwischen der Gallenblase oder dem Gallengangsystem und Teilen des Darmtraktes hergestellt werden.
Untersuchungsverfahren


Eine gesunde Gallenblase ist nicht tastbar und nicht druckschmerzhaft. Im Rahmen von Entzündungen kann sie bei eventuell damit einhergehender Vergrößerung vom ventralen Leberrand abgrenzbar sein, dann liegt im Bereich des Rippenbogens auch meist eine Druckempfindlichkeit bei der Einatmung vor (Murphy-Zeichen). Auch bei praller Füllung im Rahmen von Abflussstörungen in Kombination mit einer Gelbsucht ist das Organ tastbar (Courvoisier-Zeichen). Dies tritt typischerweise auf, wenn der Ausführungsgang in den Dünndarm beispielsweise durch einen Pankreastumor verlegt ist.
Zur apparativen Untersuchung der Gallenblase und der Gallenwege sowie eventueller krankhafter Erscheinungen steht eine Vielzahl von Verfahren zur Verfügung. Von diesen ist die Sonografie die verbreitetste, da sie einfach durchzuführen und für den Patienten risikofrei ist. Somit ist die Sonografie das erste Verfahren zur Beurteilung der Gallenblase, an das sich gegebenenfalls weitere Untersuchungen anschließen. Die Untersuchung wird üblicherweise am nüchternen Patienten durchgeführt, da dann die Gallenblase gefüllt und am besten zu beurteilen ist.[12]
Andere bildgebende Verfahren zur Beurteilung der Gallenblase, die auf der Röntgendarstellung des Gallengangsystems und der Gallenblase nach Verabreichung eines Kontrastmittels beruhen, werden zusammenfassend als Cholangiographie bezeichnet. Die erste intraoperative Cholangiographie führte 1932 der argentinische Arzt Pablo Mirizzi durch.[13] Heute ist es üblich, das Kontrastmittel, welches das Organ darstellbar macht, im Rahmen einer endoskopisch retrograden Cholangiopankreatikographie (ERCP) mittels Endoskop direkt in die Papilla duodeni major, die Mündung des Gallengangsystems in den Zwölffingerdarm, zu spritzen. Dieses Vorgehen ermöglicht nicht nur die Diagnostik krankhafter Veränderungen wie Gallensteinen oder Stenosen, sondern auch den Versuch einer therapeutischen Intervention über das Endoskop. Ist eine ERCP nicht möglich, stellt die perkutane transhepatische Cholangiographie (PTC) eine weitere Möglichkeit dar, bei der das Kontrastmittel perkutan, das heißt durch die Haut, mittels einer Punktion in die Leber eingebracht wird.[14] Wegen der Vorteile der ERCP sind Cholangiographien, bei denen ein mit der Galle durch die Leber ausgeschiedenes Kontrastmittel als Tablette (orale Cholezystographie) oder intravenös (intravenöse Cholezystographie, 1924 von Evarts A. Graham und Warren H. Cole eingeführt[15]) verabreicht wird, heute unüblich geworden oder auf spezielle Indikationen beschränkt.[16]
Die Computertomographie kommt bei unklarem Sonografie-Befund, zur Ausbreitungsdiagnostik bei Tumoren und zur Bestimmung des Kalkgehaltes von Gallenblasensteinen zum Einsatz. Eine Alternative dazu ist die Magnetresonanztomografie, die zusätzlich eine Rekonstruktion der flüssigkeitsgefüllten Gallenwege, Gallenblase und des Pankreasgangs zulässt (Magnet-Resonanz-Cholangiopankreatikografie, MRCP). Sie ist von der Aussagekraft mit der ERCP vergleichbar und kommt in Frage, wenn eine therapeutische Intervention nicht von vornherein geplant ist.[17]
Konventionelles Röntgen hat durch die Entwicklung der anderen diagnostischen Verfahren seinen Stellenwert in der Diagnostik von Erkrankungen der Gallenblase verloren. Im Röntgen lassen sich Anzahl und Größe von Gallensteinen abschätzen und eine Porzellangallenblase erkennen.[16]
Weblinks
Literatur
- Gerhard Aumüller, Jürgen Engele, Joachim Kirsch, Siegfried Mense; Markus Voll und Karl Wesker (Illustrationen): Anatomie, Lernprogramm zum Präpkurs online. 3. Auflage. Thieme, Stuttgart 2014, ISBN 978-3-13-136043-4.
- A. Benninghoff, D. Drenckhahn: Zellen- und Gewebelehre, Entwicklungslehre, Skelett- und Muskelsystem, Atemsystem, Verdauungssystem, Harn- und Genitalsystem. 16. Auflage. Urban und Fischer, München 2003, ISBN 3-437-42340-1 (Anatomie, Band 1).
- Renate Lüllmann-Rauch: Taschenlehrbuch Histologie. 4. Auflage. Thieme, Stuttgart 2012, ISBN 978-3-13-129244-5.
- Thomas W. Sadler: Medizinische Embryologie. Aus dem Englischen von Ulrich Drews. 11. Auflage. Georg Thieme Verlag, Stuttgart 2008, ISBN 978-3-13-446611-9.
- Günter Skibbe: Gallenblase und Gallengänge. In: Franz Xaver Sailer, Friedrich Wilhelm Gierhake (Hrsg.): Chirurgie historisch gesehen. Anfang – Entwicklung – Differenzierung. Dustri-Verlag, Deisenhofen bei München 1973, ISBN 3-87185-021-7, S. 72–88.
Einzelnachweise
- ↑ W. Westheide, R. Rieger: Wirbel- oder Schädeltiere. Spektrum, Heidelberg 2003 (= Spezielle Zoologie. Band 2), ISBN 3-8274-0900-4.
- ↑ a b Gerhard Aumüller et al.: Anatomie. 3. Auflage. Thieme, Stuttgart 2014, ISBN 978-3-13-136043-4, S. 667.
- ↑ Gerhard Aumüller et al.: Anatomie. 3. Auflage. Thieme, Stuttgart 2014, ISBN 978-3-13-136043-4, S. 665.
- ↑ a b Gerhard Aumüller et al.: Anatomie. 3. Auflage. Thieme, Stuttgart 2014, ISBN 978-3-13-136043-4, S. 668.
- ↑ a b Renate Lüllmann-Rauch: Taschenlehrbuch Histologie. 4. Auflage. Thieme, Stuttgart 2012, ISBN 978-3-13-129244-5, S. 427 f.
- ↑ Thomas W. Sadler: Medizinische Embryologie. Aus dem Englischen von Ulrich Drews. 11. Auflage. Georg Thieme Verlag, Stuttgart 2008, ISBN 978-3-13-446611-9, S. 287.
- ↑ a b Michael Gekle: Ernährung, Energiehaushalt und Verdauung. In: Michael Gekle u. a.: Physiologie. Thieme-Verlag, Stuttgart 2010, ISBN 978-3-13-144981-8, S. 461–463.
- ↑ Gerd Herold und Mitarbeiter: Innere Medizin 2018. Eigenverlag, Köln 2018, ISBN 978-3-9814660-7-2, S. 556 f.
- ↑ Günter Skibbe: Gallenblase und Gallengänge. 1973, S. 73–75 und 82–84.
- ↑ Hans von Haberer: Lebenswichtige, dringliche Operationen in der Bauchhöhle! In: Münchener Medizinische Wochenschrift. Band 95, Nr. 1, 2. Januar 1953, S. 61–69, hier: S. 67–68.
- ↑ Gerd Herold und Mitarbeiter: Innere Medizin 2018. Eigenverlag, Köln 2018, ISBN 978-3-9814660-7-2, S. 570.
- ↑ Maximilian Reiser, Fritz-Peter Kuhn, Jürgen Debus: Radiologie. 3. Auflage, Stuttgart 2011. S. 491.
- ↑ Günter Skibbe: Gallenblase und Gallengänge. 1973, S. 82.
- ↑ Maximilian Reiser, Fritz-Peter Kuhn, Jürgen Debus: Radiologie. 3. Auflage, Stuttgart 2011. S. 492 f.
- ↑ Paul Diepgen, Heinz Goerke: Aschoff/Diepgen/Goerke: Kurze Übersichtstabelle zur Geschichte der Medizin. 7., neubearbeitete Auflage. Springer, Berlin/Göttingen/Heidelberg 1960, S. 64.
- ↑ a b Maximilian Reiser, Fritz-Peter Kuhn, Jürgen Debus: Radiologie. 3. Auflage, Stuttgart 2011. S. 490.
- ↑ Maximilian Reiser, Fritz-Peter Kuhn, Jürgen Debus: Radiologie. 3. Auflage, Stuttgart 2011. S. 493 f.