Vitamin-B12-Mangel
| Klassifikation nach ICD-10 | |
|---|---|
| E53.8 | Mangel an sonstigen näher bezeichneten Vitaminen des Vitamin-B-Komplexes |
| ICD-10 online (WHO-Version 2019) | |

Vitamin-B12-Mangel, auch Hypocobalaminämie genannt, bezieht sich auf einen niedrigen Blutspiegel von Vitamin B12.[1] Eine Vielzahl von Anzeichen und Symptomen können auftreten, insbesondere eine Blutarmut und neurologische Störungen.
Für die Aufnahme von Vitamin B12 ist im Magen ein Protein notwendig, der Intrinsische Faktor. Fehlt dieser z. B. im Rahmen einer Autoimmun-Gastritis, so wird der Vitamin-B12-Mangel als perniziöse Anämie bezeichnet.
Anzeichen und Symptome
Vitamin-B12-Mangel kann schwere und irreversible Schäden insbesondere des Gehirns und des Nervensystems auslösen. Es ist möglich, dass sich die Nervenschäden trotz der Korrektur der Blutveränderungen nicht heilen lassen. Die Wahrscheinlichkeit einer vollständigen Umkehrung sinkt mit der Länge der Zeit, über welche die neurologischen Symptome vorhanden gewesen sind.
Im Prinzip lassen sich die Symptome in die zwei Kategorien der Blutveränderungen und der neurologischen Symptome aufteilen.
Blutveränderungen
Ein milder Mangel muss nicht zwangsläufig erkennbare Symptome verursachen. Bei jedem Menschen ist die Ausprägung unterschiedlich. Ein schwererer Mangel führt zu Symptomen wie Blutarmut, Schwäche, Müdigkeit, Benommenheit, schnellem Herzschlag, schneller Atmung und blasser Farbe der Haut. Er kann auch leichte Blutungen einschließlich Zahnfleischbluten verursachen. Nebenwirkungen im Verdauungsapparat sind eine wunde Zunge, Magenbeschwerden, Gewichtsverlust und Durchfall oder Verstopfung.
Bei der Blutarmut durch eine Störung der Erythropoese werden in der Regel rote Blutzellen (Erythrozyten) gefunden, die größer als üblich sind und eine höhere Hämoglobin-Konzentration als üblich aufweisen, so dass von einer megaloblastären Anämie gesprochen wird. Das höhere mittlere Zellvolumen (MCV) über 98 fl zeichnet die Anämie als makrozytär aus, die höhere mittlere Hämoglobinmenge pro rotem Blutkörperchen (MCH) über 34 pg oder 2,05 fmol führt zu einer (makrozytären) hyperchromen Anämie. Durch die Anämie ist auch der Hämatokrit reduziert, und die Anämie betrifft oft auch die weißen Blutkörperchen, so dass auch eine Leukopenie vorliegt.
Weitere auffällige Laborwerte sind durch eine vorzeitige Hämolyse oft eine erhöhte Lactat-Dehydrogenase (LDH) und ein erhöhter Wert des indirekten Bilirubin (Hyperbilirubinämie).
Allerdings kann bei gleichzeitig vorliegendem Eisenmangel, der zu einer hyopochromen mikrozytären Anämie führt, die megaloblastische Anämie nicht sichtbar sein, oder sogar eine mikrozytäre Anämie vorliegen. Dann kann die Erythrozytenverteilungsbreite (RDW) aber als Hinweis auf das gleichzeitige Vorliegen mikro- und makrozytärer Erythrozyten erhöht sein.[2]
Psychische Beschwerden, neuropsychiatrische Störungen
- Manische und depressive Störungen, Stimmungsschwankungen, Verwirrtheit
- Psychosen mit visuellen Halluzinationen
- Müdigkeit, Gedächtnisstörungen, Reizbarkeit und Veränderungen der Persönlichkeit[3][4][5]
- In seltenen Fällen kann ein Mangel an Vitamin B12 vorübergehend Symptome einer Demenz verursachen.[6]
Neurologische Beschwerden
Die neurologischen Symptome durch Störungen am zentralen oder (als Neuropathie) peripheren Nervensystem sind sehr unspezifisch und in ihrem Auftreten zugleich unterschiedlich häufig und in unterschiedlicher Stärke, so dass es eine große Bandbreite alternativer Diagnosen für die neurologischen Symptome gibt, und andererseits bei unspezifischen neurologischen Symptomen neben anderem auch immer ein Vitamin-B12-Mangel ausgeschlossen werden sollte.
- Periphere Polyneuropathie mit Kribbeln oder Taubheit in den Fingern und Zehen (Dysästhesien bzw. Parästhesien)
- Schmerzen in Armen und Beinen, insbesondere nach geringer Belastung. Es können auch schmerzhafte intermittierende Dysästhesien auftreten.
- Hyporeflexie und Muskelschwäche
- Ataxie mit Schwierigkeiten beim Gehen
- Myoklonien
In schweren Fällen können weitere neurologische Symptome auftreten wie beispielsweise:
- Myelopathien
- Funikuläre Myelose: diese seltene der Multiplen Sklerose ähnliche demyelinisierende Erkrankung des Rückenmarks kann bis zur Querschnittlähmung führen und ist für den Vitamin-B12-Mangel pathognomonisch.
- Atrophie des Sehnerven
Auch wenn Symptome eines Vitamin-B12-Mangels vorliegen, kann das Blutbild noch unauffällig sein. In einer Studie fanden sich bei 141 Patienten mit einer akuten neuropsychiatrischen Symptomatik aufgrund eines Vitamin-B12-Mangels bei 40 Patienten (28 %) keine Anämie oder Makrozytämie. Der Hämatokrit war bei 34 Patienten (24 %) normal, das mittlere Zellvolumen der roten Blutzellen (MCV) war bei 25 Patienten (18 %) normal.[7]
Weitere Symptome
Selten kann eine Erkrankung der Zunge auftreten, die pathognomonische Möller-Hunter-Glossitis mit einer Schleimhaut-Atrophie der Zunge, was ihr den Eindruck einer Lackzunge verleiht.
Ebenso kann es zu einem verringerten Geschmackssinn kommen.
Selten können auch eine verminderte Herzfunktion und eine verringerte Fruchtbarkeit auftreten.[8]
Symptome bei Säuglingen und Kleinkindern
Bei Säuglingen und Kleinkindern sind neben Reizbarkeit, Apathie und Appetitlosigkeit auch schwere Entwicklungsverzögerungen mit motorischen Störungen und Wachstumsstörungen möglich,[9] die bei schwerstem und langanhaltendem Vitamin-B12-Mangel auch irreversibel und sogar tödlich sein können.[10][11][12]
Ursachen
Unzureichende Zufuhr von Vitamin B12 mit der Nahrung
Eine langjährige einseitige Ernährung kann Ursache für einen Vitamin-B12-Mangel sein. Auch eine vegane Ernährungsweise kann zu Vitamin-B12-Mangel führen. Vitamin B12 wird ausschließlich von Mikroorganismen gebildet und kommt in der für den Menschen aufnahmefähigen Form fast nur in tierischen Lebensmitteln (Fleisch, Eier, Milch) vor. Eine große Speicherkapazität der Leber für das Vitamin sorgt für eine langjährige Latenz zwischen Mangelernährung und Manifestation der Erkrankung. Bei ausschließlich gestillten Säuglingen vegan ernährter Mütter, welche keine Nahrungsmittelsupplemente eingenommen hatten, konnte das Vollbild der Erkrankung bereits nach wenigen Monaten nach der Geburt beobachtet werden.[13]
Aus Bakterienkulturen gewonnenes Vitamin B12 ist vielen Nahrungsmitteln zugesetzt und als Nahrungsergänzungsmittel verfügbar.[14] Veganer, und in geringerem Maße auch Vegetarier, haben ein hohes Risiko eines nahrungsbedingten B12-Mangels, wenn sie keine Nahrungsergänzung vornehmen. Ein B12-Mangel kann aber auch bei Menschen auftreten, die Fleisch essen.[15] Kinder haben ein höheres Risiko für einen nahrungsbedingten B12-Mangel, da sie geringere Vitamindepots und einen relativ hohen Vitaminbedarf haben.
Vitamin-B12-ähnliche Stoffe in fermentierten Sojaprodukten, Algen oder Pilzen werden vom menschlichen Körper nur unzureichend aufgenommen bzw. sind metabolisch inaktiv („Pseudovitamin B12“); daher stellen diese keine ausreichenden Quellen zur Deckung des Vitaminbedarfs dar.[16][13][17]
Intrinsischer-Faktor-Mangel und verminderte Resorption
Der Mangel an Intrinsischem Faktor führt zu einer selektiven Beeinträchtigung der Vitamin-B12-Resorption, dies entspricht der perniziösen Anämie. Der für die Aufnahme von Vitamin B12 erforderliche Intrinsische Faktor wird von den Belegzellen des Magens gebildet. Bei der (atrophischen) Typ-A-Gastritis kommt es aufgrund einer Autoimmunreaktion zu einer Zerstörung der Belegzellen. Auch bei einer umfangreichen chirurgischen Resektion des Magens oder bei erblich bedingter gestörter Synthese von Intrinsischem Faktor kommt es zu einer verminderten Vitamin-B12-Resorption.
Bei Malabsorptionssyndromen kommt es ebenfalls zu einer beeinträchtigten Absorption von Vitamin B12. Dies schließt jede Form von strukturellen Schäden oder vorhergehende chirurgische Eingriffe ein. Besonders teilweise oder komplette Resektionen des Magens (Gastrektomie) oder die Resektion des terminalen Ileum (des wichtigsten Ortes der Vitamin-B12-Absorption) erfordern eine Vitamin-B12-Supplementation, wie dies bei den häufiger werdenden bariatrischen Eingriffen auch notwendig ist.
Auch eine Entzündung der Bauchspeicheldrüse, Leber- und Nierenerkrankungen können zum Vitamin-B12-Mangel führen. Ebenso kann ein Mangel an Magensaft (Achlorhydrie) eine B12-Malabsorption verursachen, da die Magensäure notwendig ist, um B12 durch Pepsine von Nahrungsproteinen und Bindungsproteinen aus dem Speichel abzuspalten. Dies kann auch medikamentös durch Hemmung der Magensäurebildung ausgelöst werden[18][19] Dies wird als häufigste Ursache für einen niedrigen B12-Gehalt bei älteren Menschen angesehen. Dieser Mechanismus hat keinen Einfluss auf die Aufnahme von B12 aus Nahrungsergänzungsmitteln, da sie in diesen nicht an Proteine gebunden sind.
Enteropathien wie Morbus Crohn und die Zöliakie können ebenfalls die Absorption von B12 beeinträchtigen. Dies ist weniger auf einen Mangel an Intrinsischem Faktor, sondern auf eine Schädigung des Dünndarms zurückzuführen.
Eine Dünndarmfehlbesiedlung oder Darmparasiten können zu einer B12-Resorptionsstörung führen. Beim Syndrom der blinden Schlinge kommt es zu Aussackungen der Darmwand mit Resorptionsstörungen.
Erbkrankheiten wie ein schwerer Methylentetrahydrofolat-Reduktase-Mangel, Homocystinurie und Transcobalamin-Mangel, Mutationen des Cubam-Rezeptors (Imerslund-Gräsbeck-Syndrom) sowie Alkoholabhängigkeit können ebenfalls einen Vitamin-B12-Mangel auslösen.
Medikamente
Das Diabetes-mellitus-Medikament Metformin kann die B12-Aufnahme aus der Nahrung stören.[20]
Die langfristige Einnahme von Protonenpumpenhemmern wie Omeprazol, Pantoprazol o.a. sowie von Antihistaminika (H2-Rezeptorenblocker) wie z. B. Ranitidin zur Senkung der Magensäureproduktion kann ebenfalls einen Vitamin-B12-Mangel auslösen. Die Magensäure ist wichtig, um Vitamin B12 aus den Nahrungsbestandteilen herauszulösen, da es ansonsten nicht ausreichend resorbiert werden kann.[2]
Auch Antibiotika wie Chloramphenicol oder Neomycin können ursächlich für einen Vitamin-B12-Mangel sein.
Lachgas-Konsum stört den B12-Stoffwechsel,[21] weshalb die regelmäßige Verwendung zum Mangel führen kann. Dies gilt auch für die missbräuchliche Verwendung sog. „whippets“, mit Lachgas gefüllter Patronen z. B. zum Aufschäumen von Milch oder Sahne.
Mechanismus
Überblick
Die Gesamtmenge an Vitamin B12, die im Körper gespeichert ist, liegt bei gesunden Erwachsenen zwischen zwei und drei Milligramm.[22] Ungefähr die Hälfte davon wird in der Leber gespeichert. Etwa 0,1 % geht jeden Tag verloren, aufgrund der Abgabe in den Darm und unvollständiger Wiederaufnahme. Da B12 hauptsächlich über die Galle ausgeschieden wird, wird es über den enterohepatischen Kreislauf größtenteils zurückgewonnen. Aufgrund der starken Wirksamkeit dieses Mechanismus kann die Leber unter normalen Bedingungen einen Vorrat an Vitamin B12 für drei bis vier Jahre speichern.[23] Die Geschwindigkeit, mit der sich B12-Spiegel ändern können, wenn die Nahrungsaufnahme niedrig ist, hängt jedoch von der Balance mehrerer Faktoren ab.[24]
Stoffwechsel

Beim Menschen verursacht Vitamin-B12-Mangel Änderungen in der Verstoffwechselung von zwei klinisch relevanten Substanzen: Homocystein und Methylmalonsäure.
Homocystein wird durch die Methionin-Synthase in Methionin umgewandelt. Methionin wird wiederum zu S-Adenosylmethionin aktiviert, welches als Methylgruppen-Donor bei zahlreichen Stoffwechselprozessen beteiligt ist, beispielsweise bei der Synthese von Purin, Desoxythymidin, Myelin, Proteinen, Neurotransmitter, Fettsäuren, Phospholipiden und bei der DNA-Methylierung. Die aktive Form von Folsäure –Tetrahydrofolsäure– liefert bei der Reaktion von Homocystein zu Methionin eine Methylgruppe. Diese Reaktion erfordert Cobalamin als Cofaktor. Die Herstellung von Tetrahydrofolsäure ist eine irreversible Reaktion. Wenn B12 fehlt, unterbleibt die Methioninbildung und die Nachbildung von Tetrahydrofolsäure stoppt.[25] Eine Homocysteinämie kann zu Krampfadern führen.
Methylmalonsäure wird als aktive Form – Methylmalonyl-CoA – durch die Methylmalonyl-CoA-Mutase, welche Vitamin-B12 als Co-Faktor benötigt, zu Succinyl-CoA umgesetzt.
Da B12 und Folsäure am Stoffwechsel von Homocystein beteiligt sind, ist die vermehrte Ausscheidung von Homocystein mit dem Urin kein spezifischer Marker für einen B12-Mangel. Methylmalonsäure ist dagegen spezifisch zum Nachweis eines B12-Mangels.
Pathomorphologie
Im Nervengewebe kommt es zu einer schwammartigen Umbildung mit ödematöser Schwellung von Nervenfasern. Durch Zerfall des Myelins der innenliegenden Nervenfasern kommt es zu Gewebeschwund und im weiteren Verlauf zu einer Sklerose des Nervengewebes. Diese Veränderungen treten am dorsalen Teil des Rückenmarks und dem Tractus corticospinalis lateralis der Pyramidenbahn auf. Dieser pathophysiologische Zustand des Rückenmarks wird als subakute kombinierte Degeneration des Rückenmarks bezeichnet.[26]
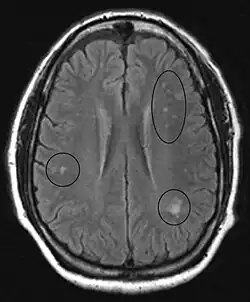
Im Gehirn selbst sind die Veränderungen weniger schwerwiegend. Hier treten kleine, meist subkortikal gelegene Herde mit Nervenfasernverfall und Anhäufung von Astrozyten auf, sowie runde Blutungsherde mit Anlagerung von Gliazellen. Diese pathologischen Veränderungen können auch in der Hinterwurzel des Rückenmarks und, in geringerem Ausmaß, bei peripheren Nerven auftreten. Sie können mittels Magnetresonanztomographie erkannt werden.[27]
Diagnose
Beschreibung und Ursachensuche

Die Serum-B12-Spiegel sind bei B12-Mangel oft niedrig. Serum-Vitamin-B12-Werte werden in pg/ml (Picogramm/Milliliter) oder pmol/l (PicoMol/Liter) angegeben. Die Einheiten sind gemäß der molaren Masse von B12 wie folgt umzurechnen: 1,375 pg/ml = 1 pmol/l.
Wenn Anzeichen eines B12-Mangels bei normalem B12-Serumspiegel auftreten, sind weitere Untersuchungen angezeigt. Eine mögliche Erklärung für normale B12-Spiegel bei einem B12-Mangel ist eine Antikörper-Interferenz bei Patienten mit einem hohen Titer von Antikörper gegen den Intrinsischen Faktor.[28] Einige Forscher kritisieren, dass die aktuellen Normwerte für Vitamin-B12-Spiegel zu tief sind.[29] Eine japanische Studie zeigte, dass die normalen Grenzen bei 500–1,300 pg/ml liegen.[30]
Als frühester Marker für einen Vitamin-B12-Mangel gilt eine Erniedrigung von Holo-Transcobalamin (Holo-TC) auf unter 35 bis 50 pmol/l. Holo-Transcobalamin ist ein Komplex aus Vitamin B12 und seinem Transportprotein. Es wird auch als „aktives Vitamin B12“ bezeichnet, da das Vitamin in dieser Form in der Blutbahn zirkuliert und zu den aufnehmenden Zellen transportiert wird. Wenn ein Vitamin-B12-Mangel klinisch vermutet wird und der Gesamt-Vitamin-B12-Wert niedrig-normal ist, bietet sich die Bestimmung von Holotranscobalamin als nächster diagnostischer Schritt an.[31]
Weiterhin gelten Serum-Homocystein- und Methylmalonsäure-Spiegel (Werte über 0,4 µmol/l) als zuverlässigere Indikatoren für einen B12-Mangel als die Konzentration von Gesamt-Vitamin B12 im Blut.[32] Die Spiegel dieser Substanzen sind bei einem B12-Mangel erhöht. Beim Folsäuremangel ist der Serum-Homocystein-Spiegel zwar auch erhöht, nicht aber der Methymalonsäure-Spiegel.
Jedoch können erhöhte Methylmalonsäurewerte auch im Zusammenhang mit Stoffwechselstörungen stehen wie Methylmalonazidurien. Wenn erhöhte Methylmalonsäurewerte noch mit erhöhten Malonsäurewerten einhergehen, kann dies für eine kombinierte Malon- und Methylmalonazidurie (CMAMMA) sprechen.[33]
Die Routineüberwachung von Methylmalonsäure im Urin ist eine Option für Menschen, die nicht genug B12 über die Nahrung aufnehmen, denn ein Anstieg des Methylmalonsäure-Spiegels kann ein frühes Anzeichen für einen B12-Mangel sein.[34]
Bei Methylmalonsäure (MMA) gilt ein Laborwert > 32 μg/l im Serum als Hinweis für einen wahrscheinlichen Vitamin-B12 Mangel. Erhöhte Methylmalonsäure-Spiegel in Kombination mit einem nur leicht erniedrigten Holo-TC, weisen bereits auf einen metabolisch manifesten Vitamin-B12-Mangel hin. Da Methylmalonsäure über die Niere ausgeschieden wird, ist ein Bezug des Messwertes auf das Kreatinin sinnvoll, um die Ausscheidungsleistung der Niere zu berücksichtigten. Liegt eine Niereninsuffizienz vor, ist die Abgrenzung durch therapeutische Methylmalonsäure-Absenkung möglich.[35]
Wenn Schäden am Nervensystem vermutet werden, ist eine Analyse von B12 im Liquor cerebrospinalis möglich, obwohl ein solch invasiver Test nur in Betracht gezogen werden sollte, wenn Bluttests nicht schlüssig sind.[36]
Der Schilling-Test wurde weitgehend von Tests für Anti-Belegzellen- und Intrinsischer-Faktor-Antikörper verdrängt.
Wirkung von Folsäure
Große Mengen Folsäure können die schädlichen Auswirkungen eines Vitamin-B12-Mangels maskieren; sie verhindern die megaloblastäre Anämie, nicht jedoch die neurologischen Schäden. Zudem gibt es Hinweise dafür, dass hohe Serum-Folsäure-Spiegel nicht nur den Vitamin-B12-Mangel maskieren, sondern auch die Anämie und kognitive Symptome verstärken können.[37] Weil in den Vereinigten Staaten die gesetzlich vorgeschriebene Fluoridierung mit einem Folsäurezusatz zur Reduktion von fetalen Neuralrohrdefekten durchgeführt wird, können Verbraucher mehr Folsäure aufnehmen als sie vermuten.[38] Um diesem maskierenden Effekt entgegenzuwirken, empfehlen die NIH, dass die Folsäureaufnahme aus angereicherten Lebens- und Nahrungsergänzungsmitteln bei gesunden Erwachsenen 1000 μg pro Tag nicht überschreiten sollte.[37] Am wichtigsten ist, dass ein B12-Mangel mit B12-Gabe behandelt werden muss. Eine Folsäurebegrenzung wirkt nicht den unwiderruflichen neurologischen Schäden entgegen, die aus einem unbehandelten B12-Mangel resultieren.
Behandlung

Einmal diagnostiziert kann ein Mangel leicht mit oral zu verabreichenden Präparaten oder Injektionen behandelt werden.[39] In einigen Fällen kann der Mangel durch Behandlung der zugrunde liegenden Ursache beseitigt werden.[40] Andere Fälle erfordern möglicherweise eine fortlaufende Nahrungsergänzung, da die zugrunde liegende Ursache nicht heilbar ist.[41] Bei schwangeren Vegetarierinnen und Veganerinnen wird eine Supplementierung empfohlen, da in dieser Zeit der Bedarf erhöht ist, und ein Mangel neurologische Defizite beim Kind verursachen kann.[9]
Wenn hohe Dosen oral verabreicht werden, beruht deren Absorption nicht auf der Anwesenheit von intrinsischem Faktor oder einem intakten Ileum. Im Allgemeinen sind dann hochdosiert täglich 1 bis 2 mg notwendig.[42]
Als parenterale Präparate werden Cyanocobalamin und Hydroxocobalamin verwendet. Bei einer akuten Mangelerkrankung mit neurologischen Symptomen werden 1000 µg Vitamin B12 in der Regel für eine bis zwei Wochen alle ein bis zwei Tage intramuskulär appliziert, unter Kontrolle des Vitamin-B12- und des Homocystein-Spiegels. Bei einer perniziösen Anämie erfolgen meist einmal wöchentliche Injektionen bis zur Normalisierung des Blutbildes, später einmal monatliche Injektionen zum Erhalt eines normalen Spiegels.[2]
Vorbeugung
Die Deutsche Gesellschaft für Ernährung empfiehlt allen sich vegan ernährenden Menschen eine dauerhafte Einnahme von Vitamin-B-12-Supplementen unter ärztlicher Kontrolle. Die Deutsche Gesellschaft für Kinder- und Jugendmedizin empfiehlt dies für alle vegan ernährten Kinder, Jugendliche, Schwangere und Stillende.[16]
Epidemiologie
Vitamin-B12-Mangel ist weit verbreitet. Es wird geschätzt, dass er bei etwa 6 % der Personen unter 60 Jahren und 20 % der Personen mit einem Alter von über 60 Jahren auftritt. In einigen Teilen Afrikas und Asiens sind bis zu 80 % der Bevölkerung betroffen.[8]
Eine Studie aus dem Jahr 2000 zeigt, dass B12-Mangel weiter verbreitet ist als bisher angenommen. Sie zeigte, dass 39 Prozent von 3.000 untersuchten Menschen zu niedrige Werte hatten.[15] Die Studie der Tufts University benutzte eine B12-Konzentration von 258 pmol/l (= 350 pg/ml) als Kriterium für einen zu tiefen Spiegel. Doch neue Forschungsergebnisse[43] haben ergeben, dass ein B12-Mangel selbst bei viel höheren B12-Konzentrationen (500–600 pg/ml) auftreten kann, weshalb der Bevölkerungsanteil mit B12-Mangel deutlich höher liegen könnte. Diese Studie fand keine Korrelation zwischen Fleischverzehr und dem B12-Serumspiegel.[15]
In den Entwicklungsländern ist der B12-Mangel sehr weit verbreitet, vor allem in Afrika, Indien und Süd- und Mittelamerika. Es wird vermutet, dass dies an der geringen Aufnahme von tierischen Produkten liegt, vor allem unter den Armen.[44]
B12-Mangel ist häufiger bei älteren Menschen.[44] Das könnte daran liegen, dass die B12-Absorption bei chronischer Gastritis stark abnimmt, was bei älteren Menschen häufig vorkommt. Auch nehmen ältere Menschen häufiger Medikamente ein, die die Magensäurebildung hemmen, und mit einem Risiko für Vitamin-B12-Mangel verbunden sind.
Vitamin-B12-Mangel bei Tieren
Bei Hunden und Katzen wird Cobalamin im Magen zu einem erheblichen Teil an Haptocorrin gebunden. Der Intrinsische Faktor (IF) wird bei Katzen vollständig, bei Hunden zu einem großen Teil in der Bauchspeicheldrüse gebildet. Daher treten Mangelerscheinungen vor allem bei der exokrinen Pankreasinsuffizienz auf, aber auch schwere Darmerkrankungen wie IBD oder gastrointestinale Lymphome sowie eine bakterielle Überwucherung des Darms können zu einem B12-Mangel führen. Bei verschiedenen Rassen (Australian Shepherd, Border Collie, Beagle, Yorkshire Terrier) wurden erblich bedingte Mangelzustände durch die fehlende Ausprägung des Cubam-Rezeptors im Ileum beschrieben.[45] Bei Shar Peis ist ebenfalls ein familiärer Cobalaminmangel beschrieben, dessen Ursache aber noch unklar ist.[46] Die orale Gabe von Cobalamin bei schweren Darmerkrankungen des Hundes ist genauso gut wirksam wie die parenterale Supplementierung.[47]
Siehe auch
- Perniziöse Anämie (von Vitamin-B12-Mangel verursacht)
- Rogers-Syndrom
Literatur
- Sally M. Pacholok, Jeffrey J. Stuart: Could It Be B12?: An Epidemic of Misdiagnoses. Linden Publishing, Fresno, CA 2011, ISBN 978-1-61035-065-5.
- M. Hooper: Pernicious Anaemia: The Forgotten Disease - the causes and consequences of Vitamin B12 Deficiency. Hammersmith Press, London 2012, ISBN 978-1-78161-004-6.
- Richard Daikeler, Götz Use, Sylke Waibel: Diabetes. Evidenzbasierte Diagnosik und Therapie. 10. Auflage. Kitteltaschenbuch, Sinsheim 2015, ISBN 978-3-00-050903-2, S. 31–33.
Weblinks
- WebMD Übersicht (englisch)
- Vitamin B12 – bei pflanzenbasierter Ernährung besonders auf eine angemessene Versorgung achten – FAQ vom Bundesinstitut für Risikobewertung (BfR), 18. Oktober 2023, abgerufen am 30. Oktober 2023.
Einzelnachweise
- ↑ Wolfgang Herrmann: Vitamins in the prevention of human diseases. Walter de Gruyter, Berlin 2011, ISBN 978-3-11-021448-2, S. 245 (google.it).
- ↑ a b c Charlotte Hogan, Brent P. Little, Jonathan C.T. Carlson, Oliver Freudenreich, Ana Ivkovic, Jason M. Baron: Case 5-2019: A 48-Year-Old Woman with Delusional Thinking and Paresthesia of the Right Hand. New England Journal of Medicine 2019, Band 380, Ausgabe 7 vom 14. Februar 2019, Seiten 665–674; doi:10.1056/NEJMcpc1807495
- ↑ N. K. Sethi, E. Robilotti, Y. Sadan: Neurological Manifestations Of Vitamin B-12 Deficiency. In: The Internet Journal of Nutrition and Wellness. Band 2, Nr. 1, 2005, doi:10.5580/5a9 (ispub.com).
- ↑ R. Masalha, B. Chudakov, M. Muhamad, I. Rudoy, I. Volkov, I. Wirguin: Cobalamin-responsive psychosis as the sole manifestation of vitamin B12 deficiency. In: The Israel Medical Association Journal. Band 3, Nr. 9, September 2001, S. 701–703, PMID 11574992 (org.il).
- ↑ Pernicious anemia: MedlinePlus Medical Encyclopedia. Nlm.nih.gov, abgerufen am 29. Dezember 2013.
- ↑ S. Kumar, A. Narasimha, B. Holla, B. Viswanath, J. C. Narayanaswamy, S. B. Math, C. R. Chandrashekar: Reversible dementia in young persons due to cobalamin deficiency. In: The Journal of Neuropsychiatry and Clinical Neurosciences. Band 25, 2013, Nr. 1, S. E62–E63, doi:10.1176/appi.neuropsych.12040083, PMID 23487240
- ↑ John Lindenbaum, Edward B. Healton, David G. Savage, John C.M. Brust, Thomas J. Garrett, Elaine R. Podell, Paul D. Margell, Sally P. Stabler, Robert H. Allen: Neuropsychiatric Disorders Caused by Cobalamin Deficiency in the Absence of Anemia or Macrocytosis New England Journal of Medicine 1988, Band 318, Ausgabe vom 30. Juni 1988, Seiten 1720–1728, doi:10.1056/NEJM198806303182604
- ↑ a b A. Hunt, D. Harrington, S. Robinson: Vitamin B12 deficiency. In: BMJ (Clinical research ed.). Band 349, 4. September 2014, S. g5226, doi:10.1136/bmj.g5226, PMID 25189324.
- ↑ a b Vitamin B12 Dietary Supplement Fact Sheet. 24. Juni 2011, abgerufen am 21. April 2015.
- ↑ D. K. Dror, L. H. Allen: Effect of vitamin B12 deficiency on neurodevelopment in infants: current knowledge and possible mechanisms. In: Nutrition Reviews. Band 66, Nr. 5, Mai 2008, S. 250–255, doi:10.1111/j.1753-4887.2008.00031.x, PMID 18454811.
- ↑ M. M. Black: Effects of vitamin B12 and folate deficiency on brain development in children. In: Food and Nutrition Bulletin. Band 29, 2 Suppl, Juni 2008, S. S126–S131, PMID 18709887, PMC 3137939 (freier Volltext).
- ↑ C. Lachner, N. I. Steinle, W. T. Regenold: The neuropsychiatry of vitamin B12 deficiency in elderly patients. In: The Journal of neuropsychiatry and clinical neurosciences. Band 24, Nr. 1, 2012, S. 5–15, doi:10.1176/appi.neuropsych.11020052, PMID 22450609.
- ↑ a b Margrit Richter et al.: Vegan Diet. Position of the German Nutrition Society (DGE). In: Deutsche Gesellschaft für Ernährung (Hrsg.): Ernahrungs Umschau. Nr. 63(4), 15. April 2016, S. 92–102, doi:10.4455/eu.2016.021 (englisch).
- ↑ J. H. Martens, H. Barg, M. J. Warren, D. Jahn: Microbial production of vitamin B12. In: Applied Microbiology and Biotechnology. Band 58, Nr. 3, März 2002, S. 275–285, doi:10.1007/s00253-001-0902-7, PMID 11935176.
- ↑ a b c Judy McBride: B12 Deficiency May Be More Widespread Than Thought. In: Agricultural Research Service. United States Department of Agriculture, 2. August 2000, abgerufen am 2. Juli 2012.
- ↑ a b Rudloff, S., Bührer, C., Jochum, F. et al.: Vegetarische Kostformen im Kindes- und Jugendalter. Monatsschr Kinderheilkd 166, 999–1005 (2018). doi:10.1007/s00112-018-0547-6; online verfügbar als pdf; zuletzt abgerufen am 16. Februar 2023
- ↑ Fumio Watanabe, Tomohiro Bito: Vitamin B12 sources and microbial interaction. In: Experimental Biology and Medicine (Maywood, N.J.). Band 243, Nr. 2, Januar 2018, S. 148–158, doi:10.1177/1535370217746612, PMID 29216732, PMC 5788147 (freier Volltext) – (englisch).
- ↑ J. R. Lam, J. L. Schneider, W. Zhao, D. A. Corley: Proton pump inhibitor and histamine 2 receptor antagonist use and vitamin B12 deficiency. In: JAMA. Band 310, Nr. 22, Dezember 2013, S. 2435–2442, doi:10.1001/jama.2013.280490, PMID 24327038.
- ↑ N. D. Yeomans, R. G. Hanson, R. A. Smallwood, G. W. Mihaly, W. J. Louis: Effect of chronic ranitidine treatment on secretion of intrinsic factor. In: Br Med J (Clin Res Ed). Band 285, Nr. 6337, 1982, S. 264, doi:10.1136/bmj.285.6337.264, PMID 6124297, PMC 1499627 (freier Volltext).
- ↑ R. Z. Ting, C. C. Szeto, M. H. Chan, K. K. Ma, K. M. Chow: Risk factors of vitamin B(12) deficiency in patients receiving metformin. In: Archives of Internal Medicine. Band 166, Nr. 18, Oktober 2006, S. 1975–1979, doi:10.1001/archinte.166.18.1975, PMID 17030830.
- ↑ H. Kondo, M. L. Osborne, J. F. Kolhouse, M. J. Binder, E. R. Podell, C. S. Utley, R. S. Abrams, R. H. Allen: Nitrous oxide has multiple deleterious effects on cobalamin metabolism and causes decreases in activities of both mammalian cobalamin-dependent enzymes in rats. In: The Journal of Clinical Investigation. Band 67, Nr. 5. The American Society For Clinical Investigation, Mai 1981, S. 1270–1283, doi:10.1172/JCI110155, PMID 6112240, PMC 370693 (freier Volltext).
- ↑ Scientific Opinion on Dietary Reference Values for cobalamin (vitamin B12). (PDF) In: EFSA. 2015, abgerufen am 21. Februar 2023 (englisch).
- ↑ Donald Voet, Judith G. Voet: Biochemistry. J. Wiley & Sons, New York 2010, ISBN 978-0-470-57095-1, S. 957.
- ↑ Kazuhiro Yamada: Interrelations between Essential Metal Ions and Human Diseases (Series: Metal Ions in Life Sciences). Hrsg.: Astrid Sigel, Helmut Sigel, Roland K. O. Sigel. Band 13. Springer, 2013, Chapter 9. Cobalt: Its Role in Health and Disease, S. 295–320, doi:10.1007/978-94-007-7500-8_9.
- ↑ B. Shane, E. L. Stokstad: Vitamin B12-folate interrelationships. In: Annual Review of Nutrition. Band 5, 1985, S. 115–141, doi:10.1146/annurev.nu.05.070185.000555, PMID 3927946.
- ↑ Vitamin B12 / Pathophysiology Text. LifeSave.org, S. 215, abgerufen am 31. Dezember 2013.
- ↑ S. Guez, G. Chiarelli, F. Menni, S. Salera, N. Principi, S. Esposito: Severe vitamin B12 deficiency in an exclusively breastfed 5-month-old Italian infant born to a mother receiving multivitamin supplementation during pregnancy. In: BMC Pediatrics. Band 12. Biomedcentral.com, 2012, S. 85, doi:10.1186/1471-2431-12-85, PMID 22726312 (biomedcentral.com).
- ↑ M. S. Hamilton, S. Blackmore, A. Lee: Possible cause of false normal B-12 assays. In: BMJ. Band 333, Nr. 7569, September 2006, S. 654–655, doi:10.1136/bmj.333.7569.654-c, PMID 16990334, PMC 1570871 (freier Volltext).
- ↑ M. Goodman, X. H. Chen, D. Darwish: Are U.S. lower normal B12 limits too low? In: Journal of the American Geriatrics Society. Band 44, Nr. 10, Oktober 1996, S. 1274–1275, doi:10.1111/j.1532-5415.1996.tb01389.x, PMID 8856015.
- ↑ Y. Mitsuyama, H. Kogoh: Serum and cerebrospinal fluid vitamin B12 levels in demented patients with CH3-B12 treatment--preliminary study. In: The Japanese Journal of Psychiatry and Neurology. Band 42, Nr. 1, März 1988, S. 65–71, doi:10.1111/j.1440-1819.1988.tb01957.x, PMID 3398357.
- ↑ W. Herrmann, R. Obeid: Causes and early diagnosis of vitamin B12 deficiency. In: Deutsches Ärzteblatt international. Band 105, Nummer 40, Oktober 2008, S. 680–685, doi:10.3238/arztebl.2008.0680. PMID 19623286, PMC 2696961 (freier Volltext).
- ↑ Test used to diagnose B12 deficiency may be inadequate. news-medical.net, 28. Oktober 2004, abgerufen am 4. Dezember 2007.
- ↑ Monique G. M. de Sain-van der Velden, Maria van der Ham, Judith J. Jans, Gepke Visser, Hubertus C. M. T. Prinsen: A New Approach for Fast Metabolic Diagnostics in CMAMMA. In: JIMD Reports. Band 30. Springer Berlin Heidelberg, Berlin, Heidelberg 2016, ISBN 978-3-662-53680-3, S. 15–22, doi:10.1007/8904_2016_531, PMID 26915364, PMC 5110436 (freier Volltext).
- ↑ M. S. Donaldson: Metabolic vitamin B12 status on a mostly raw vegan diet with follow-up using tablets, nutritional yeast, or probiotic supplements. In: Annals of Nutrition & Metabolism. Band 44, Nr. 5–6, 2000, S. 229–234, doi:10.1159/000046689, PMID 11146329 (karger.com).
- ↑ LADR informiert Nr. 232 Diagnostik des Vitamin-B12-Mangels: Bedeutung des Holo-Transcobalamins für die Früherkennung. - 02/2016
- ↑ V. Devalia: Diagnosing vitamin B-12 deficiency on the basis of serum B-12 assay. In: BMJ. Band 333, Nr. 7564, August 2006, S. 385–386, doi:10.1136/bmj.333.7564.385, PMID 16916826, PMC 1550477 (freier Volltext).
- ↑ a b Dietary Supplement Fact Sheet:Vitamin B12. National Institutes of Health, abgerufen am 25. September 2017.
- ↑ Melinda Beck: Sluggish? Confused? Vitamin B12 May Be Low. In: Wall Street Journal. 18. Januar 2011, abgerufen am 25. September 2017.
- ↑ J. Vidal-Alaball, C. C. Butler, R. Cannings-John, A. Goringe, K. Hood, A. McCaddon, I. McDowell, A. Papaioannou: Oral vitamin B12 versus intramuscular vitamin B12 for vitamin B12 deficiency. In: The Cochrane database of systematic reviews. Nr. 3, 20. Juli 2005, S. CD004655, doi:10.1002/14651858.CD004655.pub2, PMID 16034940.
- ↑ Graeme J. Hankey, Joanna M. Wardlaw: Clinical neurology. Manson, London 2008, ISBN 978-1-84076-518-2, S. 466 (google.it).
- ↑ William Schwartz: The 5-minute pediatric consult. 6. Auflage. Wolters Kluwer Health/ Lippincott Williams & Wilkins, Philadelphia 2012, ISBN 978-1-4511-1656-4, S. 535 (google.it).
- ↑ A. M. Kuzminski, E. J. Del Giacco, R. H. Allen, S. P. Stabler, J. Lindenbaum: Effective treatment of cobalamin deficiency with oral cobalamin. In: Blood. Band 92, Nr. 4, August 1998, S. 1191–1198, PMID 9694707 (bloodjournal.org).
- ↑ Donald Thomas: New Jump Swing Healthy Aging and Athletic Nutrition Program. Xlibris, 2011, ISBN 978-1-4628-8427-8, S. 41 (google.com).
- ↑ a b H. W. Baik, R. M. Russell: Vitamin B12 deficiency in the elderly. In: Annual Review of Nutrition. Band 19, 1999, S. 357–377, doi:10.1146/annurev.nutr.19.1.357, PMID 10448529.
- ↑ S.Thalmeier, S.Mohrs, K.Hazuchova, R.Neiger: Hereditäre intestinale Cobalaminmalabsorption mit persistierender Proteinurie - Imerslund-Gräsbeck-Syndrom - bei zwei juvenilen Beagles. In: Kleintierpraxis. 62, S. 136–146, März 2017, doi:10.2377/0023-2076-62-136.
- ↑ F.Hanisch, L.Toresson, T.Spillmann: Cobalaminmangel bei Hund und Katze. Tierarztl Prax Ausg K Kleintiere Heimtiere 2018; 46: 309–314
- ↑ C. Dor et al.: Efficacy and tolerance of oral versus parenteral cyanocobalamin supplement in hypocobalaminaemic dogs with chronic enteropathy: a controlled randomised open-label trial. In: J. Small Anim. Pract. Februar 2024, doi:10.1111/jsap.13705