Lodwick-Klassifikation
Die Lodwick-Klassifikation dient der Einschätzung, ob ein Knochentumor auf einem normalen Röntgenbild (nicht im CT oder MRT) als gutartig (benigne, z. B. juvenile Knochenzyste) oder bösartig (maligne, z. B. Osteosarkom) einzustufen ist. Die Einteilung erfolgt nach der Schwere des knöchernen Destruktionsmusters in die Klassen I (gutartig) bis III (bösartig), mit den Untergruppen Ia–Ic. Daneben sind auch Mischformen möglich.
Die Klassifikation kann auch zur Verlaufsbeurteilung genutzt werden, vor allem, um ein aggressiveres Verhalten im Verlauf zu beschreiben. Die Klassifikation ist weder sensitiv noch spezifisch. Nur bei einem sehr eindeutigen Befund kann auf eine weitere Bildgebung (wie Szintigraphie, Computertomographie oder Magnetresonanztomographie) im Rahmen eines Staging oder eine Biopsie verzichtet werden.
Die Einteilung stammt aus der Zeit vor Einführung von Computertomographie und Magnetresonanztomographie und hat durch diese Verfahren an Stellenwert verloren. Sie kann überdies nur bei solitären, fokalen Knochenveränderungen angewandt werden, nicht jedoch bei generalisierten Knochenveränderungen und nur eingeschränkt bei Knochenmetastasen. Trotzdem ist sie gut zur Beschreibung des nativradiologischen Befundes geeignet, da allein aufgrund der Röntgenmorphologie Aussagen zur Aggressivität des Tumors möglich sind. Andererseits berücksichtigt sie nicht die Lokalisation des Tumors im Knochen, ob metaphysär, diaphysär oder epiphysär, ob spongiös, kortikal oder gemischt, ob zentral oder randständig.
Hintergrund der Einteilung ist, dass bei langsam oder nicht wachsenden Knochentumoren, wie bei einer Knochenzyste, der Tumorrand in der Regel klar abgegrenzt ist und eine reaktive Umgebungsreaktion in Form einer Sklerosierung, Osteosklerose oder Knochenneubildung stattfindet, um den mechanischen Verlust, der durch die weniger stabile Zyste entsteht, mechanisch auszugleichen. Hingegen wachsen aggressive Tumoren, wie das Osteosarkom, derart schnell, dass sie den Knochen diffus ohne erkennbaren Rand zerstören und keine Zeit für reaktive Umbauvorgänge bleibt. Ebenso reagiert das Periost, wenn es durch ein Tumorwachstum vom Knochen abgehoben wird, mit einer Knochenneubildung, sodass bei schnellem Wachstum schalenförmige Neubildungsstreifen ("Zwiebelschalen") zu erkennen sind, während gutartige Tumoren gar nicht bis zum Periost vordringen bzw. keine Periostabhebung hervorrufen.
Destruktionsmuster

- 1 – Der Tumor ist klar abgegrenzt, oft als "landkartenartig" oder "geografisch" beschrieben, und wächst nicht oder langsam. Er findet sich in der Regel in der Spongiosa.
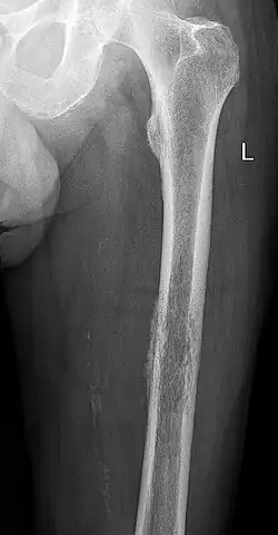
- 1A – Der Tumor bleibt auf die Spongiosa begrenzt mit deutlicher Randsklerosierung und scharfer Begrenzung. Korticalis oder Periost werden nicht penetriert. Typisch ist dieses Muster bei einem Enchondrom oder Osteoidosteom. Das nicht ossifizierende Knochenfibrom ist hingegen ein rein kortikaler Defekt.
- 1B – Die etwas schneller wachsende aktive Läsion weist wenig bis gar keinen Sklerosesaum auf, die Kontur ist unregelmäßig mit Ausbuchtungen. Auch die Kortikalis kann betroffen sein, und eine solide Periostreaktion ist möglich. Beispiele sind der Riesenzelltumor, das vorwiegend epiphysär lokalisierte Chondroblastom, das Chondromyxoidfibrom, das Osteoblastom und auch die juvenile und die aneurysmatische Knochenzyste.
- 1C – Diese schnell wachsende, teilweise infiltrative Läsion zeigt größtenteils eine "verwaschene" unscharfe Kontur, eine Sklerose ist noch möglich. Die Kortikalis ist meist arrodiert, es kann eine solide Periostreaktion vorliegen. Beispiele sind das niedrig-maligne Chondrosarkom und die aneurysmatische Knochenzyste.
- 2 – Dieser schneller wachsende Knochentumor ist nicht mehr geografisch abgrenzbar, sondern zeigt eine "Mottenfraß-ähnliche" Destruktion mit unscharfer Begrenzung. Eine reaktive Sklerosierung fehlt meist. Die Kortikalis ist ebenfalls destruiert, und das Periost hebt sich schalenförmig ab. Dieses Bild ist typisch bei einem höhergradig malignen Chondrosarkom, einem niedrig-malignen Osteosarkom und einem Fibrosarkom.
- 3 – Der Tumor wächst rasant und destruierend ohne Respektierung anatomischer Grenzen ("permeativ"), reaktive Sklerosierungen sind eine große Ausnahme. Die Begrenzung ist meist nicht mehr erkennbar, und die Periostreaktion ist "Zwiebelschalen-artig", teils unterbrochen, an den Rändern der Periostabhebung können sich Codman-Dreiecke ausbilden. Im benachbarten Weichgewebe können durch die Weichgewebs-Ausdehnung des Tumors Spiculae sichtbar sein. Typische Vertreter sind die hochmalignen Osteosarkome und Ewing-Sarkome.
Literatur
- F. Hefti: Kinderorthopädie in der Praxis. Springer-Verlag, Berlin 1997, ISBN 3-540-61480-X (S. 586)
- G. S. Lodwick, A. J. Wilson: Determing growth rates of focal lesions of bone from radiographs. Radiology 1980; 134: 577 – 583
- Heuck, Wörtler, Vestring: Radiologie der Knochen- und Gelenkerkrankungen: Primäre und sekundäre Knochentumoren. Thieme Verlag, 1997, ISBN 3-13-107071-4