Pleomorphes Xanthoastrozytom
| Klassifikation nach ICD-10 | |
|---|---|
| C71.9[1] | Bösartige Neubildung des Gehirns, nicht näher bezeichnet |
| ICD-10 online (WHO-Version 2019) | |
Das pleomorphe Xanthoastrozytom (abgekürzt PXA, ICD-O Code: 9424/3) ist ein seltener glialer Hirntumor. Es wird nach der WHO-Klassifikation der Tumoren des zentralen Nervensystems als Grad II eingeteilt. Ganz überwiegend sind Kinder, Jugendliche und junge Erwachsene betroffen.[2] Ein Zusammenhang mit einer erblichen Erkrankung ist in den allermeisten Fällen nicht erkennbar. In Einzelfällen wurde ein Auftreten von pleomorphen Xanthoastrozytomen bei Patienten mit Neurofibromatose Typ 1 beschrieben.[3]
Klinische Manifestationen
Aufgrund ihrer oberflächlichen Lage im Bereich der Großhirnrinde, häufig im Bereich des Temporallappens, manifestieren sich pleomorphe Xanthoastrozytome klinisch ganz überwiegend durch das Neuauftreten von Anfallsereignissen.[4] In der Bildgebung stellen sich pleomorphe Xanthoastrozytome als kontrastmittelaufnehmende kortexnahe teils zystische Raumforderungen dar.[5]
Pathologie

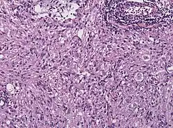
Histologisch ist dieser Tumor durch die außergewöhnliche Pleomorphie, d. h. eine Vielgestaltigkeit der glialen Tumorzellen charakterisiert. Mitosefiguren kommen vor, Nekrosen werden jedoch (im Gegensatz zum Glioblastom) gewöhnlich nicht beobachtet. Die Tumorzellen können Lipideinlagerungen enthalten (xanthomatöse Umwandlung) und sind von Retikulinfasern umgeben. Die immunhistochemische Färbung für GFAP belegt den glialen Charakter des Tumors.[6] Obwohl aufgrund des charakteristischen histologischen Bildes die diagnostische Abgrenzung gegenüber anderen Hirntumoren gewöhnlich keine Schwierigkeiten bereitet, kann die ausgeprägte Pleomorphie des Tumors insbesondere in der intraoperativen Schnellschnittuntersuchung zur Fehldiagnose eines Glioblastoms verleiten.
Pathogenese
Über an der Pathogenese pleomorpher Xanthoastrozytome beteiligte Mechanismen ist nur wenig bekannt. Diese unterscheiden sich aber wahrscheinlich von den an der Entstehung anderer glialer Tumoren beteiligten Prozessen.[7] Verluste genetischen Materials im Bereich des Chromosoms 9 scheinen häufig aufzutreten.[8] In bis zu 65 % der Tumoren lassen sich BRAF-V600E-Mutationen nachweisen.[9]
Differentialdiagnostik
Abzugrenzen ist u. a. ein Rosettenbildender glioneuronaler Tumor (RGNT).
Therapie
Der Tumor wird gewöhnlich operativ entfernt.
Prognose
Nach operativer Entfernung ist die Prognose von pleomorphen Xanthoastrozytomen überwiegend günstig, eine maligne Progression kann jedoch auftreten.[10][11] Die prognostische Wertigkeit von Zeichen der Anaplasie (erhöhte mitotische Aktivität, Nekrosen) in pleomorphen Xanthoastrozytomen ("pleomorphic xanthoastrocytoma with anaplastic features") ist nicht abschließend geklärt.
Literatur
- J. J. Kepes, D. N. Louis, C. Giannini, W. Paulus: Pleomorphic xanthoastrocytoma. In: P. Kleihues, W. K. Cavenee (Hrsg.): World Health Organization Classification of Tumors: Pathology and Genetics of Tumors of the Nervous System. IARC Press, Lyon 2000.
Einzelnachweise
- ↑ Alphabetisches Verzeichnis zur ICD-10-WHO Version 2019, Band 3. Deutsches Institut für Medizinische Dokumentation und Information (DIMDI), Köln 2019, S. 981.
- ↑ J. J. Kepes et al.: Pleomorphic xanthoastrocytoma: a distinctive meningocerebral glioma of young subjects with relatively favorable prognosis. A study of 12 cases. In: Cancer. Band 44, Nr. 5, 1979, S. 1839–1852. PMID 498051 (Erstbeschreibung)
- ↑ S. Saikali et al.: Multicentric pleomorphic xanthoastrocytoma in a patient with neurofibromatosis type 1. In: J Neurosurg. Band 102, Nr. 2, 2005, S. 376–381. PMID 15739569
- ↑ C. Giannini et al.: Pleomorphic xanthoastrocytoma: what do we really know about it? In: Cancer. Band 85, Nr. 9, 1999, S. 2033–2045. PMID 10223246
- ↑ M. H. Lipper et al.: Pleomorphic xanthoastrocytoma, a distinctive astroglial tumor: neuroradiologic and pathologic features. In: AJNR Am J Neuroradiol. Band 14, Nr. 6, 1993, S. 1397–1404. PMID 8279337 (Neuroradiologie)
- ↑ J. J. Kepes et al.: Pleomorphic xanthoastrocytoma: a distinctive meningocerebral glioma of young subjects with relatively favorable prognosis. A study of 12 cases. In: Cancer. Band 44, Nr. 5, 1979, S. 1839–1852. PMID 498051 (Erstbeschreibung)
- ↑ C. Giannini, D. Hebrink, B. W. Scheithauer, A. P. Dei Tos, C. D. James: Analysis of p53 mutation and expression in pleomorphic xanthoastrocytoma. In: Neurogenetics. Band 3, 2001, S. 159–162. PMID 11523567.
- ↑ R. G. Weber, A. Hoischen, M. Ehrler, P. Zipper, K. Kaulich, B. Blaschke, A. J. Becker, S. Weber-Mangal, A. Jauch, B. Radlwimmer, J. Schramm, O. D. Wiestler, P. Lichter, G. Reifenberger: Frequent loss of chromosome 9, homozygous CDKN2A/p14(ARF)/CDKN2B deletion and low TSC1 mRNA expression in pleomorphic xanthoastrocytomas. In: Oncogene. Band 26, 2007, S. 1088–1097. PMID 16909113.
- ↑ Genevieve Schindler, David Capper, Jochen Meyer, Wibke Janzarik, Heymut Omran, Christel Herold-Mende, Kirsten Schmieder, Pieter Wesseling, Christian Mawrin, Martin Hasselblatt, David N. Louis, Andrey Korshunov, Stefan Pfister, Christian Hartmann, Werner Paulus, Guido Reifenberger, Andreas Deimling: Analysis of BRAF V600E mutation in 1,320 nervous system tumors reveals high mutation frequencies in pleomorphic xanthoastrocytoma, ganglioglioma and extra-cerebellar pilocytic astrocytoma. In: Acta Neuropathologica. S. , doi:10.1007/s00401-011-0802-6.
- ↑ C. Giannini et al.: Pleomorphic xanthoastrocytoma: what do we really know about it? In: Cancer. Band 85, Nr. 9, 1999, S. 2033–2045. PMID 10223246
- ↑ J. C. Tonn: Pleomorphic xanthoastrocytoma: report of six cases with special consideration of diagnostic and therapeutic pitfalls. In: Surgical Neurology. Band 47, Nr. 2, 1997, S. 162–169. PMID 9040821