Zerebelläres Liponeurozytom

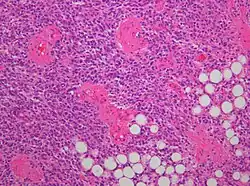
Histologie des zerebellären Liponeurozytoms.
Hämatoxylin-Eosin-Färbung. Vergrößerung 200x.
Neuronale Differenzierung von Tumorzellen.
Immunhistochemische Färbung für Synaptophysin (hier braun angefärbt). Vergrößerung 200x

Als zerebelläres Liponeurozytom wird ein sehr seltener Hirntumor bezeichnet, der bei Erwachsenen im Bereich des Kleinhirns auftritt. Neuropathologisch ist zusätzlich zu einer neuronalen Differenzierung (wie beim Neurozytom) meist fokal eine lipomatöse Differenzierung der Tumorzellen charakteristisch. Nach vollständiger operativer Entfernung ist die Prognose meist günstig. Da Rezidive auftreten können, wird der Tumor nach der WHO-Klassifikation der Tumoren des zentralen Nervensystems als Grad II eingestuft. Ältere Synonyme sind Neurolipozytom, Medullozytom, lipomatöses Medulloblastom oder lipomatöses Glioneurozytom.

Literatur

  • Kleihues et al.: Cerebellar liponeurocytoma. In: Louis et al. (eds.): WHO Classification of Tumours of the Central Nervous System. IARC Press, Lyon 2007, ISBN 9283224302.