Subependymales Riesenzellastrozytom


Das Subependymale Riesenzellastrozytom (engl. subependymal giant cell astrocytoma, kurz SEGA) ist ein seltener gutartiger Hirntumor, der unterhalb des Ependyms wächst und insbesondere bei der tuberösen Sklerose auftritt. Nach der WHO-Klassifikation der Tumoren des zentralen Nervensystems wird der gutartige Tumor als Grad 1 eingeteilt.
Klinik
Subependymale Riesenzellastrozytome treten insbesondere bei Kindern und jungen Erwachsenen auf. Da der Tumor bevorzugt in der Wand des Ventrikelsystems in der Nachbarschaft der Foramina Monroi entsteht, ist mit zunehmendem Wachstum häufig der Liquorabfluss gestört. Der Tumor wächst in der Regel sehr langsam und zeigt sich in der Bildgebung als umschriebene Raumforderung mit Verkalkungen und Zeichen älterer Blutung. In manchen Fällen ist das SEGA die Erstmanifestation einer tuberösen Sklerose (TSC) und zählt daher zu einem diagnostischen Hauptkriterium. Allerdings entwickeln nur 6–16 % aller TSC-Patienten ein SEGA.
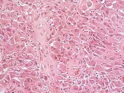
Neuropathologie


Histologisch sind für den Tumor astrozytäre Riesenzellen charakteristisch; die Morphologie der Tumorzellen kann jedoch von polygonalen Zellen mit glasigem Zytoplasma und ganglioiden Kernen bis hin zu spindelförmigen Zellen in einer fibrillären Matrix reichen. Die Tumorzellen zeigen eine variable Expression von GFAP, S-100, Synaptophysin und Neurofilament.