Spiegelbildung

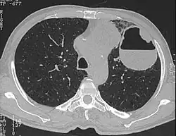
Spiegelbildungen (medizinisches Englisch „air-fluid level“ oder „fluid-fluid level“) werden auf Röntgenaufnahmen z. B. des Abdomens und in Schnittbildverfahren wie CT und MRT beobachtet. Es sind horizontale Grenzflächen zwischen Materialien von unterschiedlicher Dichte, bei denen das schwerere Material mit der Schwerkraft absinkt. Es gibt Gas-Flüssigkeit-Spiegel und Flüssigkeit-Flüssigkeit-Spiegel (etwa in einer alten Blutung, wenn die festen Bestandteile absinken).
Spiegel beweisen das Vorliegen von freier Flüssigkeit, z. B. in Hämatomen, Knochenzysten[1] und einschmelzenden Tumoren.[2] Luft/Sekret-Spiegel in den Nasennebenhöhlen weisen auf Sinusitis hin. Luft/Flüssigkeits-Spiegel im Brustkorb gibt es beim Hämatothorax oder Serothorax. Abszesse mit Spiegeln haben entweder Anschluss an die Luftwege oder den Darm bekommen, oder sie werden durch Gasbildner verursacht. Ein einzelner Spiegel im Mittelfell (Mediastinum) liegt in der Regel in einem Magenanteil, der in den Brustkorb verlagert ist, als Magenhernie oder nach operativem Magenhochzug.[3] Luft-Flüssigkeitsspiegel im Darm entstehen durch verzögerte Darmpassage des Stuhls und sind in höherer Anzahl ein Anzeichen für einen Ileus.[4]
Quellen
- Egon Bücheler, Thomas Göttsche: Einführung in die Radiologie: Diagnostik und Interventionen; 116 Tabellen. Georg Thieme Verlag, 2006, ISBN 978-3-13-316011-7 (google.de).
Einzelnachweise
- ↑ Terry R. Yochum, Lindsay J. Rowe: Essentials of skeletal radiology. Lippincott Williams & Wilkins, S. 964 (google.de).
- ↑ Eugene Lin, Edward Escott, Kavita Garg: Practical Differential Diagnosis for CT and MRI. Thieme, 2008, ISBN 978-1-58890-655-7, S. 270 (google.de).
- ↑ William E. Brant, Clyde A. Helms: Fundamentals of Diagnostic Radiology. Lippincott Williams & Wilkins, 2012, ISBN 978-1-60831-911-4, S. 384 (google.de).
- ↑ William Herring: Learning Radiology: Recognizing the Basics. Elsevier Health Sciences, 2011, ISBN 978-0-323-08166-5, S. 127–8 (google.de).