Plexuspapillom
| Klassifikation nach ICD-10 | |
|---|---|
| D33.0 | Gutartige Neubildung: Gehirn, supratentoriell |
| D33.1 | Gutartige Neubildung: Gehirn, infratentoriell (IV. Ventrikel) |
| ICD-10 online (WHO-Version 2019) | |
| Klassifikation nach ICD-11 | |
|---|---|
| 2A00.22 & XH0RF9 |
Plexus-chorioideus-Tumoren & Plexus-choroideus-Papillom o. n. A. |
| ICD-11: Englisch • Deutsch (Entwurf) | |
| Klassifikation nach ICD-O-3 | |
|---|---|
| 9390/0 | Plexus-choroideus-Papillom |
| ICD-O-3, zweite Revision (2019) | |

Das Plexus-choroideus-Papillom, kurz Plexuspapillom, ist ein seltener gutartiger Hirntumor, der von der Deckschicht (Epithel) des Adergeflechts (Plexus choroideus) ausgeht. Plexuspapillome sind seltene Tumoren, die nur etwa 0,5 % aller Hirntumoren ausmachen. Ganz überwiegend sind Kinder und Jugendliche betroffen.[1] Das Plexuspapillom führt zu einer Erhöhung des Hirndrucks mit Kopfschmerz, Übelkeit und Erbrechen. Die Diagnose wird durch eine Magnetresonanztomographie gestellt. Nach operativer Entfernung ist die Heilungsaussicht sehr günstig, weswegen der Tumor nach der WHO-Klassifikation der Tumoren des zentralen Nervensystems als Grad 1 eingestuft wird.
Von den gutartigen Plexuspapillomen abzugrenzen sind das atypische Plexuspapillom und das bösartige Plexuskarzinom.
Epidemiologie
Plexuspapillome betreffen vor allem Kinder und Jugendliche und machen bei ihnen 2 bis 4 % aller Hirntumoren aus, bei Erwachsenen nur 0,5 %. Personen mit männlichem Geschlecht sind etwa 20 % häufiger betroffen als solche mit weiblichem.[1]
In der überwiegenden Mehrheit handelt es sich um sporadische Fälle, also Fälle, bei denen kein Zusammenhang mit einer erblichen Erkrankung erkennbar ist. Selten können Plexuspapillome im Rahmen von Syndromen auftreten, wie zum Beispiel dem Aicardi-Syndrom[2] oder dem Li-Fraumeni-Syndrom. Mutationen an bestimmten Genen, die für die Entwicklung des Plexusepithels wichtig sind, sind mit dem Tumor assoziiert.[1]
Eine virale Entstehung des Plexuspapilloms gilt mittlerweile als widerlegt.[1] Zwar gelang in Plexuspapillomgewebe der Nachweis von Erbmaterial des Simian-Virus-40 (SV40), der im Tiermodell Tumoren erzeugen kann, allerdings war dieser Nachweis nur in Bevölkerungsgruppen möglich, die von 1955 bis 1963 mit dem SV40 Virus kontaminierten Impfstoff gegen Kinderlähmung erhalten hatten (z. B. in den USA). Da die Inzidenz von Plexuspapillomen im Vergleich zu anderen Ländern in diesem Zeitraum nicht erhöht war, handelt es sich beim SV40-Nachweis wahrscheinlich um ein Epiphänomen (Begünstigung der Virusreplikation bei Patienten mit latenter Infektion) und keinen Kausalzusammenhang.[3]
Symptome
Aufgrund ihrer Lage innerhalb der inneren Flüssigkeitsräume (Ventrikel) des Gehirns behindern Plexuspapillome häufig den Fluss des Nervenwassers, was zu einer Erhöhung des Hirndrucks führen kann. Kopfschmerz, Übelkeit und Erbrechen sind typische, aber unspezifische Symptome. In fortgeschrittenen Fällen kann es zur Entwicklung eines Hydrocephalus (Wasserkopf) kommen.[4]
Diagnostik
Diagnostische Kriterien sind laut WHO ein Tumor innerhalb der Ventrikel oder im Kleinhirnbrückenwinkel, mit Plexus-choroides-Differenzierung und fehlender oder geringer Zellteilungsrate.[1]
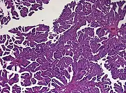
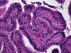
Histologie


Das feingewebliche Bild ähnelt mit Ausbildung papillärer Strukturen weitgehend dem des normalen Plexus choroideus. Tumoren, die atypische histologische Eigenschaften (insbesondere eine erhöhte mitotische Aktivität) aufweisen, werden als atypisches Plexuspapillom bezeichnet.[5]
Diagnostisch hilfreich ist der immunhistochemische Nachweis einer Expression des Zytokeratins CK7, Vimentin und S-100. Schwierigkeiten kann bei Erwachsenen die Abgrenzung gegenüber Hirnmetastasen bereiten. Der Nachweis einer Expression von plexustumor-spezifischen Markern kann dazu beitragen, die Verdachtsdiagnose eines Plexuspapilloms zu erhärten.[6][7]
Bildgebung

In der Kernspintomographie stellen sich Plexuspapillome recht charakteristisch als intensiv homogen Kontrastmittel aufnehmende, in den Hirnventrikeln gelegene Masse mit blumenkohlartiger Form dar. Bei Kindern und Jugendlichen sind vor allem die Seitenventrikel betroffen, bei Erwachsenen gleichermaßen der vierte Ventrikel. Selten können Plexuspapillome auch im dritten Ventrikel oder ganz außerhalb des Ventrikelsystems liegen.[1][8]
Behandlung und Prognose
Der Tumor kann fast immer operativ vollständig entfernt werden. Aufgrund der Seltenheit von Tumoren des Plexus choroideus wird die weitere Behandlung im Rahmen klinischer Studien erfolgen.
Nach vollständiger operativer Entfernung ist die Prognose von Plexuspapillomen günstig.[9] Eine postoperative Strahlen- oder Chemotherapie ist bei vollständig operativ entfernten Plexuspapillomen (Grad 1 WHO) im Gegensatz zu atypischen Plexuspapillomen und Plexuskarzinomen deswegen in der Regel nicht erforderlich. Nur in Einzelfällen ist eine metastatische Ausbreitung entlang der Liquorwege[10] oder bösartige Entartung[11] beschrieben worden.
Veterinärmedizin
Bei Hunden machen Plexuspapillome bis zu 14 Prozent aller im Schädel gelegenen Tumoren aus.[12] Selten kommen sie bei anderen Tieren, wie zum Beispiel Ziegen und Rindern vor.[13][14]
Einzelnachweise
- ↑ a b c d e f WHO Classification of Tumours Editorial Board (Hrsg.): Central Nervous System Tumours (= World Health Organization Classification of Tumours). 5th ed Auflage. International Agency for Research on Cancer, Lyon 2021, ISBN 978-92-832-4508-7, S. 190 ff. (englisch).
- ↑ J. Aicardi: Aicardi syndrome In: Brain Dev. 27(3), Apr 2005, S. 164–171. PMID 15737696
- ↑ H. Ohgaki u. a.: More about: cell and molecular biology of simian virus 40: implications for human infections and disease. In: J Natl Cancer Inst. 92(6), 15 Mar 2000, S. 495–497. PMID 10716971
- ↑ A. W. McEvoy u. a.: Management of choroid plexus tumours in children: 20 years experience at a single neurosurgical centre. In: Pediatr Neurosurg. 32(4), Apr 2000, S. 192–199. PMID 10940770
- ↑ A. Jeibmann u. a.: Prognostic implications of atypical histologic features in choroid plexus papilloma. In: J Neuropathol Exp Neurol. 65, 2006, S. 1069–1073. PMID 17086103
- ↑ R. Beschorner u. a.: Choroid plexus tumors differ from metastatic carcinomas by expression of the excitatory amino acid transporter-1. In: Hum Pathol. 37(7), Jul 2006, S. 854–860. PMID 16784985
- ↑ M. Hasselblatt u. a.: Identification of novel diagnostic markers for choroid plexus tumors: a microarray-based approach. In: Am J Surg Pathol. 30, 2006, S. 66–74. PMID 16330944
- ↑ Jennifer Linn, Martin Wiesmann, Hartmut Brückmann: Atlas Klinische Neuroradiologie des Gehirns (= Atlas klinische Neuroradiologie des Gehirns). Springer-Verlag Berlin Heidelberg, Berlin, Heidelberg 2011, ISBN 978-3-540-89569-5, S. 231 ff.
- ↑ J. E. Wolff: Choroid plexus tumours. In: Br J Cancer. 87(10), 4 Nov 2002, S. 1086–1091. PMID 12402146 (Meta-Analyse)
- ↑ A. W. McEvoy u. a.: Metastatic choroid plexus papilloma: a case report. In: J Neurooncol. 56(3), Feb 2002, S. 241–246. PMID 12061730.
- ↑ Jeibmann u. a.: Malignant progression in choroid plexus papillomas. In: J Neurosurg. 107(3 Suppl), 2007, S. 199–202. PMID 17918524
- ↑ S. L. Kraft u. a.: Retrospective review of 50 canine intracranial tumors evaluated by magnetic resonance imaging. In: J Vet Intern Med. 11(4), 1997, S. 218–225. PMID 9298476
- ↑ R. Klopfleisch, D. Beier, J. P. Teifke: Choroid plexus carcinoma in a goat. In: J Comp Pathol. Band 135, Nr. 1, 2006, S. 42–46, PMID 16820166.
- ↑ M. J. Hoenerhoff u. a.: Choroid plexus papilloma in a Scottish highland cow. In: J Comp Pathol. 135(2-3), Aug-Okt 2006, S. 146–149. Epub 2006 Sep 6. PMID 16952368
Weblinks
- Fachberichte. Bei einem nach einer Schädelverletzung…. In: Zeitschrift der k(aiserlich) k(öniglichen) Gesellschaft der Aerzte zu/in Wien / Medizinische Jahrbücher / Wochenblatt der k(aiserlich) k(öniglichen) Gesellschaft der Ärzte in Wien. Beilage zu den Medizinischen Jahrbüchern / Medizinische Jahrbücher. (Beilage zum Wochenblatt der k(aiserlich) k(öniglichen) Gesellschaft der Aerzte), Heft 34/1865, S. 704 (online bei ANNO). (Fallbeschreibung durch Friedrich Daniel von Recklinghausen.)
- Kissling bespricht einen Fall von Tumor des vierten Ventrikels. In: Allgemeine Wiener medizinische Zeitung / Allgemeine Wiener medizinische Zeitung. Organ für Medizin und Volkswirthschaft, 17. Dezember 1912, S. 5 (online bei ANNO). (Beschreibung eines Falls einer 42-jährigen Frau)
- Plexuspapillom. In: Online Mendelian Inheritance in Man. (englisch)